Ästhetik

Sie wünschen sich ein strahlendes Lächeln?

Unbeschwert Lächeln kann so einfach sein...

Auch wer nicht von Natur aus die gewünschte Zahn-Optik hat, bekommt in der Zahnarztpraxis NeueMitte den Traum vom schönen Lächeln erfüllt. In der ästhetischen Zahnheilkunde wird unter Berücksichtigung der Funktion mit qualitativ hochwertigen Materialien wie beispielsweise Vollkeramik ihr Lachen optimiert.

Unschöne Füllungen in den Frontzähnen, Kronen mit sichtbaren Metallrändern, Fehlstellungen, Risse und Verfärbungen der Zähne können durch eine schonende Behandlung wieder naturgetreu korrigiert werden. Für das perfekte Lächeln kommen hier häufig neben Vollkeramik-Kronen die Zahnsubstanz schonenderen Veneers und das Bleaching zur Anwendung.

Kronen aus Vollkeramik

Bei einer fortgeschritteneren Schädigung der Zahnsubstanz, kommt als letzte Rettung für einen Zahn in vielen Fällen nur noch eine Krone in Betracht, um den Zahn naturgetreu und ästhetisch schön restaurieren zu können.
Der Zahn wird vom Zahnarzt so beschliffen, dass am Zahn genügend Platz zur Aufnahme einer künstlichen Krone geschaffen wird. Diese wird, wenn man ein ästhetisch perfektes Ergebnis erzielen will, in der Regel im zahntechnischen Labor hergestellt. Unser Labor ist spezialisiert auf die Herstellung von hochwertigen Kronen und Brücken. Diese werden metallfrei und vollständig keramisch hergestellt, so daß auch nach einer mehrjährigen Tragedauer kein dunkler Metallrand sichtbar wird. Auch eine allergisch bedingte Unverträglichkeit gegen Metall-Legierungen ist damit ausgeschlossen.

Brücken

Bei einer Zahnlücke, bzw. einem fehlenden Zahn, ist eine Brücke notwendig, wenn auf eine chirurgische Alternative (z.B. ein Implantat) verzichtet werden soll oder oder aus medizinischen Gründen sogar muss.

Die Brücke wird auf den benachbarten Zähnen, den sogenannten Pfeilerzähnen, befestigt, die dafür wie bei den Einzelkronen beschliffen werden müssen. In manchen Fällen besteht auch die Möglichkeit einer zahnschonenden Teilkronen-Brücke. Nach der Fertigstellung im Labor wird die Brücke im Mund mit einem speziellen Zement vom Zahnarzt eingesetzt und ist so fest, wie die "eigenen Zähne".

Vorteile von Kronen

  • Feste Zähne
  • Schutz der gesamten Zahnsubstanz unter der Krone
  • Lange Haltbarkeit
  • Optimale Ästhetik

Vorteile von Brücken

  • Feste Zähne
  • Kein implantat-chirurgischer Eingriff nötig
  • Kürzere Behandlungdauer
  • Lange Haltbarkeit
  • Optimale Ästhetik

Veneers – Keramikschalen für perfekte Ästhetik und schöne Zähne

Sollte Ihre Zahnästhetik durch einen abgebrochenen Zahn, durch große verfärbte Füllungen oder durch Kariesdefekte unansehnlich geworden sein, muß dieser nicht zwingend immer überkront werden, sondern kann durch Veneers mit deutlich weniger Substanzverlust korrigiert werden. Auch Zahnfehlstellungen, Zahnlücken oder der Ausgleich unterschiedlich großer Zähne können hiermit rekonstruiert werden. Dadurch erhalten Sie wieder schöne Zähne.

Eine vorausgehende exakte Planung des Behandlungsablaufs durch Zahnarzt und Zahntechniker ist dabei zu Beginn unablässig. Dabei wird in einem gemeinsamen Beratungsgespräch zusammen mit dem Patienten die grundsätzliche Indikation für die Veneer-Behandlung abgeklärt. Zur umfassenden Planung gehören Modelle der Zähne und eine fotografische Dokumentation Ihres Behandlungsfalles. Des Weiteren wird der Fall nach ihren Wünschen mit dem spezialisierten Zahntechniker und Zahnarzt besprochen, so dass Sie im Vorfeld bereits das schöne Ergebnis in Ihrem Mund sehen können. Der Zahnarzt spricht von einem sogenannten Wax-Up.

Wie läuft eine Behandlung mit Veneers ab?

Die entsprechenden Zähne werden minimal (nur 0 bis 1 mm) vom Zahnarzt präpariert und der anschließende Abdruck wird inklusive aller erforderlichen Unterlagen ins zahntechnische Labor übermittelt.

In unserem angeschlossenen Labor "Peter Kappert" aus Essen werden nach einer individuellen Farbnahme der Zähne und Besprechung ihrer Wünsche die Veneers nach Farbe, Form und Stellung in einem sehr aufwendigen Schichtverfahren für Sie hergestellt. Abschließend erfolgt der Verbund durch entsprechende hochentwickelte Spezialkleber mit dem Zahn beim Zahnarzt. Diese Technik ist sehr aufwendig und komplex und sollte vom ästhetisch ausgebildeten Zahnarzt durchgeführt werden.

Vorteile von Kronen

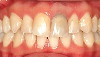
Anfangssituation vor Veneers

Vorteile von Brücken

Fertige Veneers / Keramikschalen

Vorteile von Brücken

Eingesetzte Veneers / Endsituation

Wie läuft eine Behandlung mit Veneers ab?

Durch die entsprechende Ausbildung in der ästhetisch-rekonstruktiver Zahnheilkunde gehören Veneers bei uns zur hochwertigen Behandlung für schöne Zähne, mit welcher bereits viele Patienten sehr glücklich gemacht werden konnten.

Ästhetischer Zahnersatz und Prothetik

Aber auch, wenn Sie bereits einen oder mehrere Zähne verloren haben, oder der bereits vorhandene Zahnersatz sich nicht mehr in gewünschtem Zustand befindet, sind Sie bei uns in den besten Händen. Ob konventionelle Brücken, Teilprothesen oder ein komplettes Gebiß - mit einem erfahrenen Team bestehend aus mehreren Zahntechnikern und Meisterlaboren lassen sich ihre Zähne auch in dieser Situation wieder so ästhetisch rekonstruieren, dass Sie wieder unbeschwert sprechen, essen und lachen können.

Wir beraten Sie gerne in einem individuellen Gespräch, ob dieses Verfahren für Sie die richtige Lösung darstellt.